AKCIA      |     Vstupné vyšetrenie vrátane röntgenových snímkov ZADARMO

Sme pacientmi najlepšie hodnotená zubná klinika v Bratislave

Extrakcia zuba bez bolesti: Šetrný zákrok bez zbytočného stresu

V Dental Centrum NIVY je naším prvoradým cieľom záchrana každého vlastného zuba. Sú však situácie, kedy je jeho vytrhnutie zuba (extrakcia) tým najlepším riešením pre vaše celkové zdravie a pohodlie. Vďaka moderným postupom a empatii našich lekárov sa u nás tohto zákroku nemusíte báť.

Obsah

Extrakcia zuba bez bolesti: Šetrný zákrok bez zbytočného stresu

V Dental Centrum NIVY je naším prvoradým cieľom záchrana každého vlastného zuba. Sú však situácie, kedy je jeho vytrhnutie zuba (extrakcia) tým najlepším riešením pre vaše celkové zdravie a pohodlie. Vďaka moderným postupom a empatii našich lekárov sa u nás tohto zákroku nemusíte báť.

Obsah

Extrakcia zuba | Bratislava | Dental Centrum NIVY

Kedy je potrebné pristúpiť k vytrhnutiu zuba?

Zubný lekár navrhne extrakciu až vtedy, keď sú vyčerpané všetky ostatné možnosti liečby alebo keď o tento výkon pacient požiada. Najčastejšími dôvodmi sú:

Extrakcia zuba s rozsiahlym kazom | Dental Centrum NIVY

1. Rozsiahly kaz

Ak je zub natoľko zničený, že ho už nie je možné opraviť plombou ani korunkou.

2. Problémové zuby múdrosti

Ak spôsobujú bolesť, tlačia na ostatné zuby alebo vyvolávajú opakované zápaly.

Extrakcia zuba múdrosti | Dental Centrum NIVY
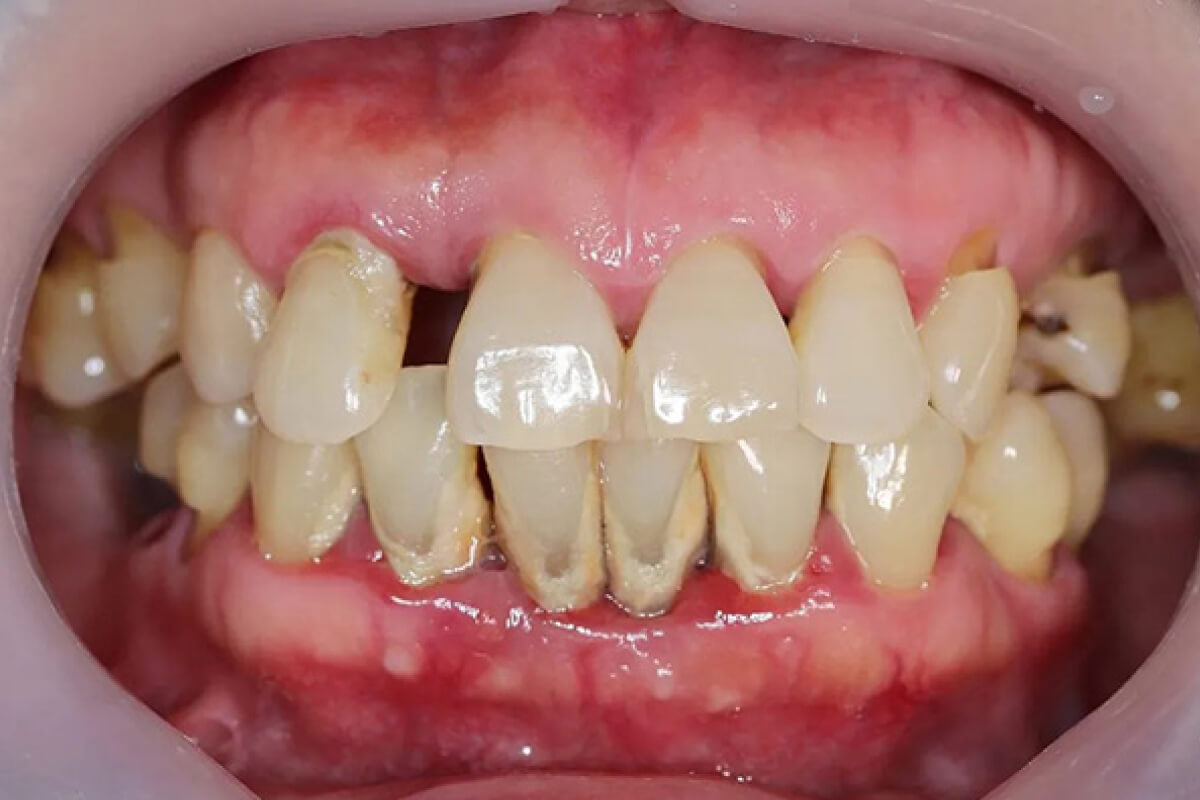
Parodontitída | Dental Centrum NIVY

3. Pokročilé ochorenie ďasien (parodontitída)

Keď zub stratí svoju oporu v kosti a začne sa kývať.

4. Zlomenina koreňa

Ak prasklina zasahuje hlboko pod úroveň ďasna, kde už nie je možná oprava.

Zlomenina koreňa zuba | Dental Centrum NIVY
Ortodontická liečba | Dental Centrum NIVY

5. Ortodontická liečba

V prípadoch, keď je v ústach nedostatok miesta a je potrebné uvoľniť priestor pre správne vyrovnanie ostatných zubov strojčekom.

Vytrhnutie zuba bez bolesti

Vytrhnutie zuba bez bolesti | Dental Centrum NIVY

Mnohí pacienti majú z vytrhnutia zuba prirodzený rešpekt. Chceme vás však uistiť, že dnešná stomatológia je úplne niekde inde. Na našej klinike používame moderné lokálne anestetiká, ktoré znecitlivia ošetrované miesto tak dokonale, že počas samotného zákroku nebudete cítiť žiadnu bolesť, iba mierny tlak. Naším cieľom je, aby ste z kresla odchádzali s pocitom úľavy, nie s traumou.

Ako prebieha extrakcia zuba u nás?

Celý proces je rýchly a maximálne šetrný k okolitým tkanivám:

1. Dôkladná diagnostika

Na základe digitálneho RTG snímku, ktorý vám urobíme priamo u nás, lekár presne vidí polohu koreňov a okolitej kosti.

Extrakcia zuba - priebeh | Dental Centrum NIVY
Lokálna anestézia zuba | Dental Centrum NIVY

2. Bezbolestná anestézia

Miesto zákroku znecitlivíme, aby ste sa cítili komfortne.

3. Šetrná extrakcia

Zub uvoľníme a jemne vytiahneme. Dbáme na to, aby sme čo najmenej poškodili okolité ďasno a kosť, čo je kľúčové pre rýchle hojenie.

Vytrhnutie zuba | Dental Centrum NIVY
Extrakcia zuba - hojenie | Dental Centrum NIVY

4. Ošetrenie rany

Po vytiahnutí zuba ranu vyčistíme a v prípade potreby aplikujeme liečivú hemostatickú látku pre rýchlejšie zastavenie krvácania a podporu hojenia.

Pooperačná starostlivosť a garancia bezpečia

Vaša starostlivosť u nás nekončí vytiahnutím zuba. Každý pacient od nás dostane presné inštrukcie, ako sa o ranu doma starať (čo jesť, čomu sa vyhnúť), aby hojenie rany po extrakcii zuba prebehlo hladko.

Naša priorita je vaša spokojnosť: Uvedomujeme si, že každý organizmus reaguje inak. Preto v Dental Centrum NIVY poskytujeme všetku pooperačnú starostlivosť v prípade komplikácií úplne bezplatne. Ak by sa vám čokoľvek nezdalo, rana by bolela viac, než je bežné, alebo by sa hojila pomalšie, sme tu pre Vás a vyriešime to v rámci našej nadštandardnej starostlivosti.

Extrakcia zuba a jeho hojenie | Dental Centrum NIVY

Často kladené otázky (FAQ)

Čo mám robiť hneď po extrakcii zuba?

Odporúčame zahryznúť do sterilného tampónu na približne 20 minút a v deň zákroku miesto nevyplachovať, aby sa v rane vytvorila dôležitá krvná zrazenina, ktorá chráni kosť.

Kedy budem môcť jesť?

Jesť môžete hneď, ako vyprchá účinok lokálnej anestézie (zvyčajne po 2 hodinách). Odporúčame mäkšiu stravu a vyhýbať sa horúcim nápojom v prvý deň.

Kedy môžem cvičiť?

Zvyčajne prvé 2-3 dni po extrakcii sa neodporúča zvýšená fyzická aktivita pri ktorej by ste sa spotili alebo zadýchali. Zvýšili by ste riziko opätovného krvácania a sťaženého hojenia rany.

Ako nahradiť chýbajúci zub?

Strata zuba nie je len estetický problém, ale môže ovplyvniť aj skus a zdravie ostatných zubov. Radi s vami prekonzultujeme možnosti následného riešenia, ako napríklad zubný implantát alebo zubný mostík.

Zbavte sa bolesti a problémov so zubami ešte dnes. Objednajte sa na konzultáciu v Dental Centrum NIVY.

Vyberte si spôsob objednania termínu

Online rezervačný systém

  • Vyberte a zarezervujte si svoj termín hneď teraz

Telefonicky

Odoslanie formuláru

  • Vyplňte a odošlite formulár a my vás budeme kontaktovať

Prečítajte si recenzie našich pacientov z Google a Facebooku

Sme pacientmi najlepšie hodnotená zubná klinika v Bratislave